X-Rays

05/17/11

Home
Up
Remove Halo
A Night Out With The Stars
April Surgery
Coming Home
January Surgery
X-Rays
Week of 1/24
Weekend 1/22
Weekend 1/15
Week of 1/17
Week of 1/10
1/8 and 1/9
1/7/05
1/6/05

 

The pictures below are x-ray's of Nick's spine so you can see the progress achieved.  You can click on a picture to see a larger version of it.

 
MRI taken in the summer of 2004. MRI taken in the summer of 2004.
Taken 12/20/04, this x-ray shows Nick's spine at the 100 degree curve.  Note how above his throat it starts to curve back to compensate for the large forward curve. Taken on 1/21/05 after two weeks of traction.  There's obvious improvement and the measurement is now at 65 degrees.  Note how much straighter his neck is.
Though tougher to see, this picture was taken during surgery on 1/27/05. Curvature is at 40 degrees which you can barely see written on the x-ray. You can also see the pedicle screws and rods in place.

 

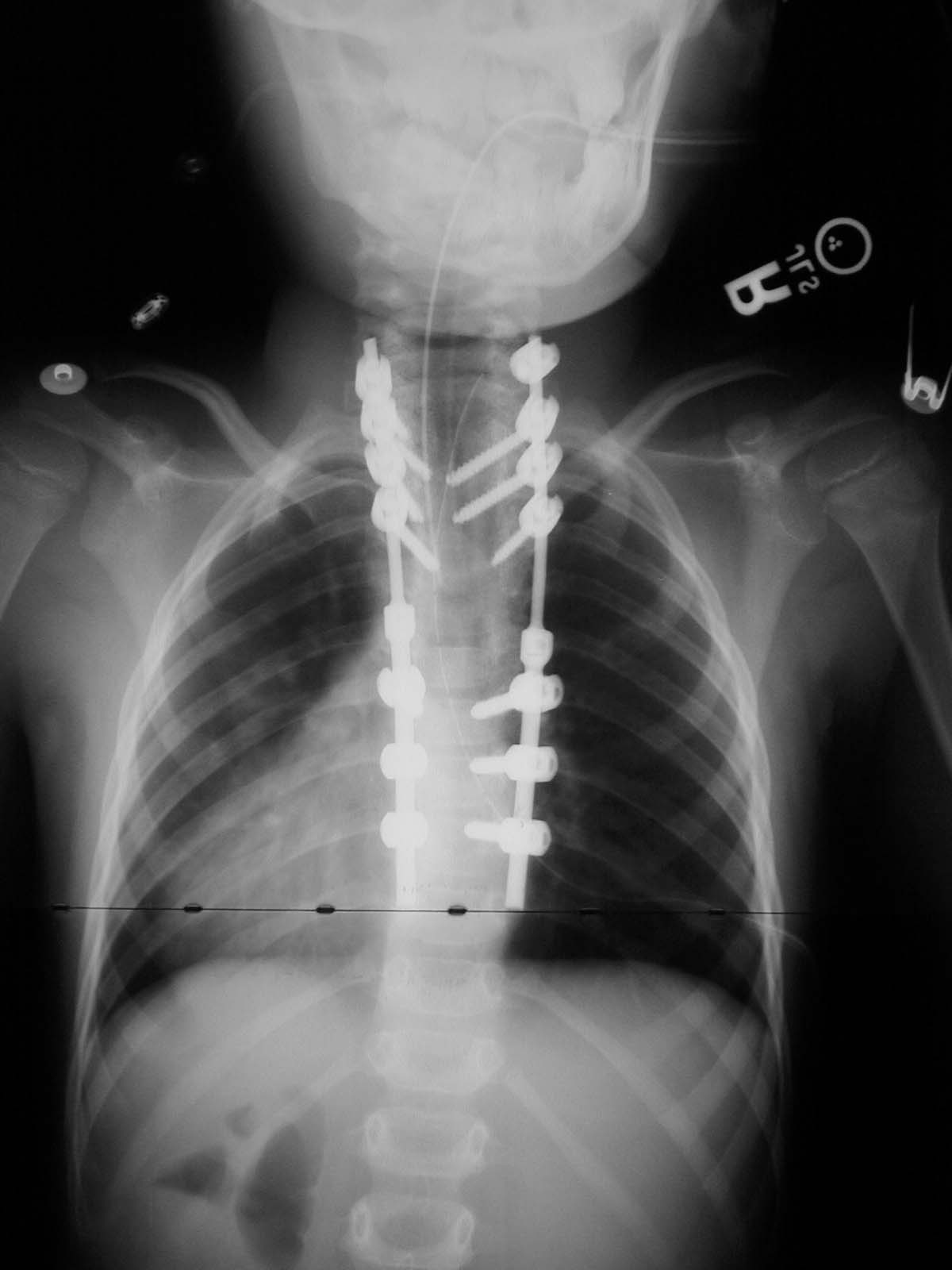
Taken on Tuesday, 2/1/05.  In this picture you can also see the pins in his skull used for his halo.
April 5, 2005  

 

 

 

Front-side view taken on 12/20/04 Front-side view taken on 1/21/05
Back-side view taken during surgery on 1/27/05.  Here you get a good view of the pedicle screws and rods.

 

Front-side view taken on 2/1.  In this picture you can also see the pins in his skull used for his halo.
April 5, 2005.  Note the allen wrench taped to his vest!  

Home | Remove Halo | A Night Out With The Stars | April Surgery | Coming Home | January Surgery | X-Rays | Week of 1/24 | Weekend 1/22 | Weekend 1/15 | Week of 1/17 | Week of 1/10 | 1/8 and 1/9 | 1/7/05 | 1/6/05

This site was last updated 05/23/09